İrsi mikrosferositoz
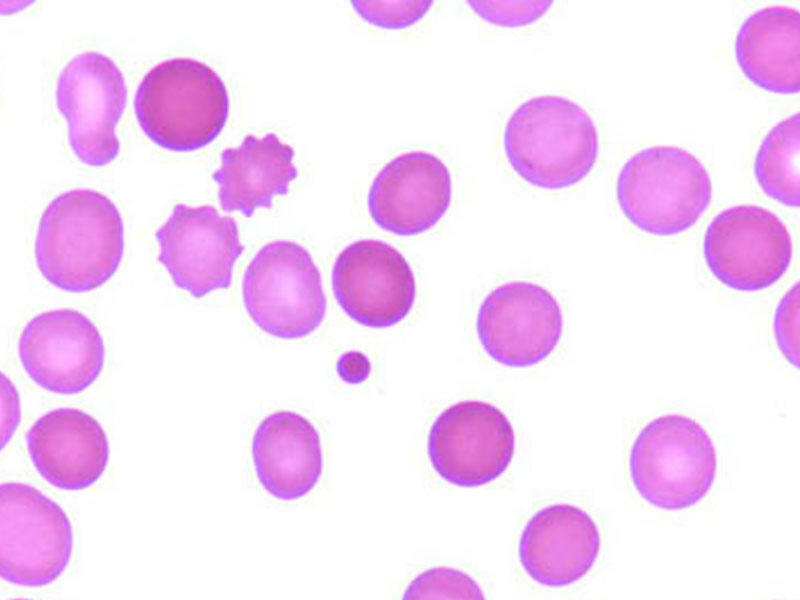
İrsi mikrosferositoz hemolitik anemiyanın əsasında autosom dominant tipli, irsən keçən, eritrositlərin membranının defisiti durur. Eritrositlər sferik formada olduğundan kiçik kaprilyarlardan və xüsusən də dalağın sinuslarından keçən zaman formasını dəyişdirə bilmir, nəticədə eritrositin membranından bir hissəsi itir və hemoliz baş verir. Eritrositin membranı daxilə artıq miqdarda Na ionları buraxır və balansını saxlamaq üçün eritrosit daha çox miqdarda ATF və qlükoza sərf edir. Bu da öz növbəsində eritrositlərin ömrünün qısalmasına səbəb olur. Digər tərəfdən dalaqda makrofaqlar sferositləri faqositoz edərək qan dövranından kənarlaşdırır ki, bu da anemiyanın əsas səbəbi sayılır.
Xəstəlik özünü hemolitik sindrom və anadangəlmə sklet və daxili orqanların anormallığı ilə göstərirr. Xəstəlik dalğavari keçir, hemolitik krizlə vaxtaşırı təkrarlanır.
Xəstəliyin əlamətləri aşağıdakılardır:
- dəridə sarılıq
- zəiflik
- tez yorulma
- titrəmə.
Xəstəliyin ağır vəziyyətlərində soyuqdəymə nəticəsində də kriz baş verə bilir.
Bu zaman xəstədə temperatur yüksəlir, əzələlər, qaraciyər və dalaq nahiyyədə ağrılar baş verir. Sarılıq əlamətləri güclənir, sidiyin və nəcisin rəngi tündləşir. Belə olduqda xəstəni xəstəxana şəraitində müalicə etmək lazım gəlir. Xəstəlik irsi xarakter daşıdığından belə xəstələr anadangəlmə qüsurlu doğulurlar.
Diaqnoz qanın ümumi, biokimyəvi laborator analizlərinə əsasən qoyulur.
Müalicə dalağın orqanizmdən xaric olunmasından ibarətdir. Bu əməliyyatdan sonra eritrositlərin deffektli qalmasına baxmayaraq, hemoliz dayanır. Xəstələrə dəmir preparatları, B12 təyin edilir.
Milli.Az









Vətən haqqında bayatılar
Ehtiraslı öpüşmək üçün bunlara mütləq əməl edin
İdeal Dieta: 1 həftəyə 5 kq arıqla!
Qara zirə (Çörək otunun) faydaları
Qaravəllilər
Qarazirə hər dərdin çarəsi olan bitki
Arzuolunmaz hamiləlik
Ən güclü təbii antibiotik: Udi hindi bitkisinin faydaları
Blok3-ün 25 il həbsi tələb olunur
Qocalmanı ləngidən ədviyyat: Ürəkdən beyinə qədər faydalıdır
Ataların qida rejimi hamiləliyə təsir edir - YENİ ARAŞDIRMA
Bizimkilər səhnədə hoqqabazlıq edirlər
Hülya Avşarın rol aldığı serialın yayımı dayandırılır
Torpaq yemək istəyi nəyin gizli əlamətidir?
Ajda Pekkanın bacısı xərçəngə qalib gəldi