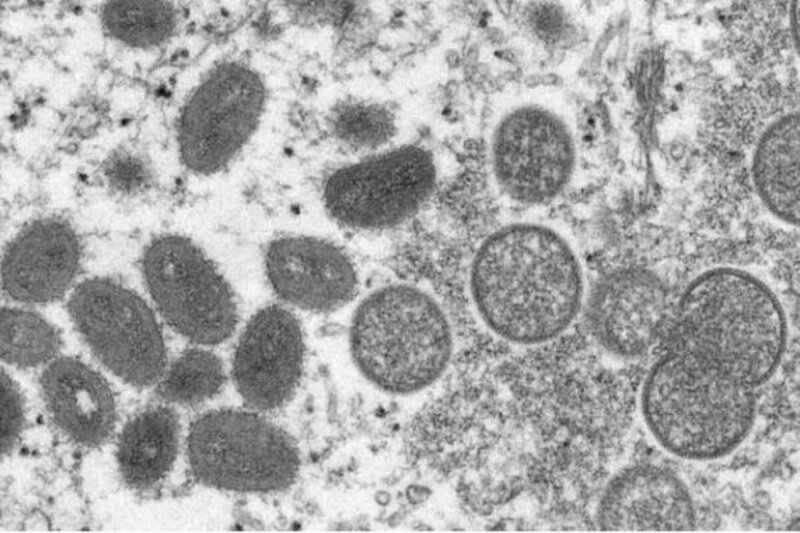
Ukraynada meymunçiçəyinə ilk yoluxma aşkar edilib

Ukraynada meymunçiçəyinə ilk yoluxma aşkar edilibUkraynada meymunçiçəyinə ilk yoluxma faktı təsdiqlənib.
Milli.Az APA-ya istinadən xəbər verir ki, xəstəlik PZR testi sayəsində müəyyən edilib.
Pasient xəstəxanaya yerləşdirilib, vəziyyəti normaldır. O, anamnezində bildirib ki, ölkə xaricində olmayıb. Həkimlər onun Ukraynanın böyük şəhərlərindən birində yoluxduğu qənaətinə gəliblər.
Milli.Az

Xəbərlər     Baxılıb: 991   Tarix: 16 sentyabr 2022
f Paylaş

Oxşar xəbərlər

.

Bu şəxslərə banan yemək olmaz - SƏBƏB

Banan dadlı və faydalı meyvə olsa da, bəzi insanlar üçün risk daşıya bilər. xəbər verir ki, dietoloqlar və həkimlər xəbərdarlıq edirlər ki, diabet xəstələri banan yedikdə qan şəkərinin sürətlə qalxması ilə üzləşə bilər. B

.

Gündə üç dəfə qəbul etmək bağırsaqda möcüzələr yaradır

Bağırsaqlarınızın düzgün işləməsini təmin etmək üçün müəyyən qidaları istehlak etməlisiniz. Xüsusilə müxtəlif meyvələr bağırsaq hərəkətini stimullaşdırmağa kömək edir və qəbizlik kimi sağlamlıq problemlərini aradan qaldırır

.

Ən zərərli ət məhsulu bu İMİŞ: Hər gün istifadə edirik

Sağlam qidalanmaya diqqət artdıqca, hansı ət növlərinin daha zərərli olduğu məsələsi də tez-tez araşdırılır. Bir çox insan toyuq və ya hinduşka ətinin sağlamlıq riskləri haqqında məlumat axtarsa ​​da, mütəxəssislər əsl riski

.

Gözlərdə bulanıqlaşma nədən xəbər verir?

Gözlərdə bulanıq görmə bir çox insanın zaman-zaman qarşılaşdığı problemlərdən biridir və bu hal bəzən müxtəlif sağlamlıq problemlərinin əlaməti ola bilər. Mütəxəssislərin sözlərinə görə, görmənin bulanıqlaşması sadəcə gö

.

Yaddaşı gücləndirən 5 İÇKİ – Harvard mütəxəssisindən tövsiyə

Yediyimiz qidalar və içdiyimiz içkilər yalnız fiziki sağlamlığa deyil, həm də beynin fəaliyyətinə və yaddaşa ciddi təsir göstərir. xəbər verir ki, harvard mütəxəssisi Dr. Terri Şintani bildirib ki, bəzi vitamin və antioksidantlarl

.

Yaz gəldi, allergiya mövsümü başladı - Necə qorunmalı?

Yaz fəslinin gəlişi təbiətin canlanması, ağacların çiçəkləməsi və havanın isinməsi ilə müşayiət olunur. Lakin bu dövr bir çox insan üçün sevincdən çox narahatlıq gətirir. Söhbət yaz aylarında geniş yayılan polen allergiyasında

.

Arteriyaları təmizləyən toxum: Necə içək?

Kətan toxumu arteriyalardan xolesterol lövhəsinin təmizlənməsinə kömək edir. -a istinadən xəbər verir ki, mütəxəssislər bu məhsulu arteriyalardakı yağ komponentlərindən, xolesteroldan və kalsiumdan ibarət çöküntüləri təmizləmə

.

Torpaq yemək istəyi nəyin gizli əlamətidir?

Zəiflik, yorğunluq, saç tökülməsi, kövrək dırnaqlar və udma çətinliyi dəmir çatışmazlığının əsas əlamətləri ola bilər. xəbər verir ki, onun sözlərinə görə, bəzən dəmir çatışmazlığı daha fərqli simptomlarla da özünü göstər

.

Ən güclü təbii antibiotik: Udi hindi bitkisinin faydaları

Pandemiyada insanların immuniteti gücləndirən təbii məhsullara marağı da artdı. Bu qidalardan ən önəmlisi isə udi hindi bitkisidir. Udi hindinin faydaları saymaqla bitmir. Bəs udi hindi bitkisi nədir?. xəbər verir ki, ə

turlar.az

geyim necə seçməli geyim və ayaqqabılar geyim şəkilləri əməliyyatlar atalar sozleri elme aid saç kəsimləri 2026 qadın və təhsil kosmetika oyunlar salam sevda burclər ağır itki